首页 > 科普 > 详情

5 分钟就能“斩首”人类精子,这种藏在猫砂中的寄生虫可能已感染全球一半人口

2025年7月08日| 浏览:6069次| 字体:
分享到: 

    据说是世界上最成功的寄生虫之一。

    对许多人来说,即使是真的感染了弓形虫(Toxoplasma gondii),好似也无需担心。因为许多时候,这种寄生虫貌似并不会让人出现什么明显的病症。

   但在上个月,一项发表于《欧洲生化联合会会刊》(The FEBS Journal)上的新研究指出,弓形虫感染或许与全球男性生育能力的下降息息相关。

被斩首的精子 图片来源:Rojas-Baró et al, 2025

   从猫到猫

弓形虫一般来源于猫,它们最终的目标是猫科动物。这些动物是弓形虫的最终宿主,因为弓形虫只有在它们的肠道中,才能进行有性生殖,产生虫卵。猫体内的弓形虫卵会通过粪便被释放到环境中,因此一切有猫的地方都有可能有弓形虫卵——包括你家的猫砂盆。


弓形虫的生活史 图片来源:Marín-García et al, 2022

   但弓形虫不止会感染猫,包括人类、老鼠在内的大部分哺乳动物,以及鸟类,一旦不小心接触了环境中的弓形虫卵(比如饮用了含弓形虫卵的水源),都有可能被感染,并成为弓形虫的中间宿主。弓形虫会在这些中间宿主体内快速无性繁殖并潜伏起来,等待着机会再次回到它们的最终宿主身上。

关于弓形虫有许多传说,其中最有名的便是:弓形虫会操控老鼠的大脑,让它们不再惧怕猫,甚至反而会被猫尿所吸引——这样这些老鼠就更容易被猫吃掉,弓形虫就能再次感染猫。此外,许多研究也表明,弓形虫感染可以损害人类的大脑功能。

   人感染之后

   人类生存的环境中向来不缺猫,因此也向来不缺弓形虫。有研究估算,全球可能有 30% 至 50%的人感染了弓形虫,在某些地区的弓形虫感染率甚至超过了 80%。许多生鲜、肉制品上面也存在弓形虫卵,如果在没有煮熟的情况下食用这些肉类就可能导致弓形虫感染。

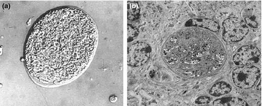
     感染人体后,弓形虫会在增殖期和潜伏期两个阶段之间互相转换。增殖期的弓形虫叫做“速殖子”(tachyzolte),它们会通过无性生殖,在被感染的细胞内呈指数级自我扩增。快速增殖一段时间后(大概 7 小时),它们会转换为几乎静止的状态并潜伏起来,也称为“慢殖子”(bradyzoite)慢殖子会聚集在一起形成包囊(cyst),终生潜伏在宿主的骨骼肌、心肌和中枢神经系统中。这些包囊有着厚厚的外壁,难以被穿透,目前没有方法从人体内根除。在特定时期(比如宿主免疫力低下的时候),慢殖子又会重新转变为速殖子,并快速增殖。

弓形虫的慢殖子包囊 图片来源:Sullivan & Jeffers, 2012

    对于大多数免疫力正常的人类,感染了弓形虫后不会出现明显的病症。但对于免疫系统功能较弱的人来说,弓形虫则可能引起不同程度的症状,比如让人出现严重的眼部病变或神经系统症状。

    人体内原本存在一些屏障,将人体重要部位与身体其他部分的内环境分割开来,防止病原体的入侵,但弓形虫却能够跨越这些屏障。例如,它们就能跨越血胎屏障,这就是为何如果孕妇感染了弓形虫,可能对胎儿造成严重的影响,严重时甚至可能导致流产;它们也能跨越血脑屏障,并引起各种中枢神经病症,比如癫痫等。当然,它们也能跨越血睾屏障,对男性的生殖系统产生影响。


弓形虫感染人类大脑 图片来源:Sullivan & Jeffers, 2012

        精子杀手

       此前有研究曾发现,感染了弓形虫的大鼠,精液中能检测到活的速殖子,而且这些大鼠能够感染与之交配的雌性。感染弓形虫的小鼠的精子会出现形态问题,精子数量也会减少。还有研究发现,如果通过人工授精的方式,让母山羊接受弓形虫阳性的精液,其血清中会检测出了弓形虫,这说明弓形虫存在性传播的可能性。

       2002 年针对苏州的一项研究发现,不孕不育夫妇检测出弓形虫的概率高于生育能力正常的夫妇;同样,2005 年在沈阳进行的一项研究也发现,不育的男性弓形虫检测呈阳性的概率更高。2021 年的一项研究发现,感染了弓形虫的男性中,86.6% 的男性表现出精液异常,包括少精子症、弱精子症和畸形精子症。

       而在最新的《欧洲生化联合会会刊》论文中, 研究者首先验证了此前的研究。他们使用弓形虫速殖子感染小鼠,两天后,便在小鼠睾丸和附睾中检测到了弓形虫的 DNA,说明弓形虫的确跨越了小鼠的血睾屏障。

       随后,研究者想直接观察弓形虫到底能对人类精子产生什么样的影响,于是开展了体外实验。他们将弓形虫与健康捐献者的精子放置在一起。结果发现,仅 5 分钟后,22.4% 的精子就失去了头部,仿佛被斩首了一般;而 10 分钟和 15 分钟后,无头精子的数量(相比于对照组)分别增加了 4 倍和 8 倍。


弓形虫“斩首”人类精子 图片来源:Rojas-Baró et al, 2025


      在扫描电子显微镜下可以观察到,精子尾部或头部存在弓形虫速殖子,一些精子的尾部呈现出扭曲卷起或直角的姿态。被感染的精子线粒体功能严重受损,一些区域的线粒体甚至完全被清除,这极大地影响了精子的活力。

      许多数据表明,过去半个世纪,全球男性生育能力持续下降。从 1990 年到 2019 年,男性不育率上升了近 80%。其可能原因很多,比如饮食习惯、环境污染、不良生活方式等。而这项新研究则表明弓形虫或许也在其中扮演了一定的角色,并提供了确凿的证据表明弓形虫能够入侵雄性动物的生殖器官,并能在体外影响人类精子的活性。

     “无论这种寄生虫对生育能力的潜在影响如何,避免弓形虫感染都是明智之举,”美国印第安纳大学的微生物学和免疫学教授比尔·沙利文(Bill Sullivan,未参与该研究)在介绍这项研究的一篇文章中写道,“请妥善照顾你的猫,及时清理猫砂盆,然后彻底洗手,这有助于减少你接触弓形虫的机会。你还可以通过清洗水果和蔬菜、食用前将肉类煮熟至适当温度以及避免食用生贝类 、不干净的水和生牛奶来保护自己免受这种寄生虫的侵害。”

来源:环球科学、科普中国

编辑:杜勇

审核:文成锋


上一篇:最新Nature:发现“伟哥”抗肿瘤功效的免疫学机制

下一篇:器官“年龄”影响寿命,大脑最关键

报纸期刊

河南科技报
农家参谋

咨询: 0371-69333566     电话: 136-7336-5366    邮箱: 470363313@qq.com     地址: 河南省郑州市金水区政七街13号2号楼

Copyright 2018-2025 科技新闻网 AII Rights Reserved     科技新闻网版权所有,未经书面授权,不得复制或建立镜像     互联网新闻信息服务许可证《编号: 41120200005》

豫ICP备06011472号-3     网站版本号: v2.2 更新日志     技术支持:全息数字科技